Casos Clínicos
Onda de Choque Diamagnética
Onda de Choque Diamagnética
- Paciente: Mujer de 41 años que sufre una caída accidental bajando unas escaleras se tropezó con su mismo pantalón, el día 9-06-2024. 
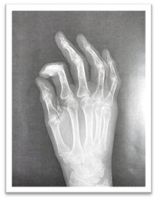
- Hoy os traemos el caso de una paciente mujer de 72 años que el día 21-01-2024 sufre una caída y se golpea en la mano derecha. 

 
	 
	

